Aller au contenu principal
TwitterFacebookLinkedinPartager

Gynécologie

Publié le  Lecture 3 mins

Cancer caché par le nomadisme médical

Cécile FARGES, Stéphanie COHEN-ZARADE, radiologues, Paris

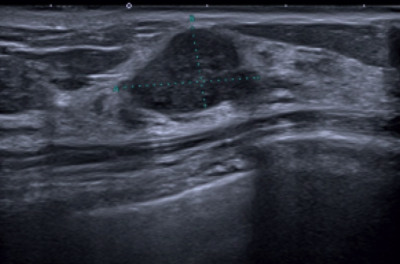
En 2021, une patiente de 42 ans sans facteur de risque consulte pour masse palpable apparue du QSI droit. Elle a pour antécédent l’exérèse d’un adénofibrome en 2004 à gauche. La masse palpable est visible en mammographie et en échographie (figures 1 et 2), classée 4 b dans notre centre. La biopsie est réalisée dans un autre cabinet. L’ana-pathologie, non vue, hésite entre phyllode et adénofibrome. Une IRM complémentaire est donc de nouveau réalisée dans notre centre. La masse se rehausse ainsi que plusieurs formations bilatérales à contrôler à 6 mois (figure 3). La patiente est opérée de la masse, un adénofibrome finalement (ana-pathologie non vue), mais ne contrôle pas par une IRM comme demandé.
En mai 2023, la patiente refait un bilan dans un autre centre. La mammographie est décrite comme normale, sein très dense de type D mais présence de formations hypoéchogènes classées ACR 3.

Figure 1. Adénofibrome de contoursirréguliers en 2021, opéré, doute sur une phyllode. Figure 2. Mammographie de 2021, sein dense, masse palpable du qSI, qui sera opérée. Figure 3. IRM en 2021, rehaussements de la masse palpable du QSI et bilatéraux à recontrôler. En octobre 2023, elle se présente...

Attention, pour des raisons réglementaires ce site est réservé aux professionnels de santé.

pour voir la suite, inscrivez-vous gratuitement.

Si vous êtes déjà inscrit,
connectez vous :

Si vous n'êtes pas encore inscrit au site,
inscrivez-vous gratuitement :